Myh6 R404Q+/?Ä£Ðͼ°ÆäҩЧÆÀ¼Û
Myh7ÁÙ´²·ÊºñÐÍÐ¡ÈËÖз¢ÏÖµÄ×î¸ßƵͻ±äÖ®Ò»¡£Ð¡ÊóMyh7±í´ïÁ¿µÍ£¬ÇÒ²»²ÎÓëÐÄÊÒ¼¡Çòµ°°×ÖØÁ´¶þ¾ÛÌå×é³É¡£Ð¡ÊóMyh6»ùÒòÓëÈËÀàµÄ Myh7 »ùÒò¾ßÓи߶ÈͬԴÐÔ£¬¶þÕß¶¼Ö÷ÒªÔÚÐÄÊÒÐļ¡Ï¸°ûÖбí´ï£¬¶ÔÐļ¡ÊÕËõÁ¦Æð׏ؼüµÄµ÷½Ú×÷Óá£Myh6 »ùÒò±àÂë ¦Á- ¼¡Çòµ°°×ÖØÁ´£¨¦Á-MHC£©£¬ÊÇÐļ¡ÖеÄÒ»ÖֹؼüÊÕËõµ°°×£¬Í¨¹ýÒÀÀµ ATP µÄ¼¡¶¯µ°°× - ¼¡Çòµ°°×ºáÇÅÑ»·£¬Çý¶¯¼¡½Ú×é×°ºÍÐļ¡ÊÕËõ¡£Ð¡Êó Myh6 »ùÒòµÚ 404 λ°±»ùËá²Ð»ù¼°ÆäÖÜΧÐòÁУ¬ÓëÈËÀà Myh7 »ùÒòµÚ 403 λ²Ð»ùÇøÓò¾ßÓи߶ÈͬԴÐÔ¡£Myh6»ùÒòR404QÍ»±ä»áÆÆ»µ¼¡Çòµ°°×ÖØÁ´ÓëÐ¡Çòµ°°×½áºÏµ°°× C£¨cMyBP-C£©Ö®¼äµÄ½áºÏÇ׺ÍÁ¦£¬ÕâÓëÈËÀà Myh7»ùÒò R403Q ±äÒìµÄÖ²¡»úÖÆÏàËÆ£¬Äܹ»ÖØÏÖÈËÀà·ÊºñÐÍÐ¡µÄ²¡ÀíÌØÕ÷¡£
Ä£ÐͽéÉÜ
Myh7ÁÙ´²·ÊºñÐÍÐ¡ÈËÖз¢ÏÖµÄ×î¸ßƵͻ±äÖ®Ò»¡£Ð¡ÊóMyh7±í´ïÁ¿µÍ£¬ÇÒ²»²ÎÓëÐÄÊÒ¼¡Çòµ°°×ÖØÁ´¶þ¾ÛÌå×é³É¡£Ð¡ÊóMyh6»ùÒòÓëÈËÀàµÄ Myh7 »ùÒò¾ßÓи߶ÈͬԴÐÔ£¬¶þÕß¶¼Ö÷ÒªÔÚÐÄÊÒÐļ¡Ï¸°ûÖбí´ï£¬¶ÔÐļ¡ÊÕËõÁ¦Æð׏ؼüµÄµ÷½Ú×÷Óá£Myh6 »ùÒò±àÂë ¦Á- ¼¡Çòµ°°×ÖØÁ´£¨¦Á-MHC£©£¬ÊÇÐļ¡ÖеÄÒ»ÖֹؼüÊÕËõµ°°×£¬Í¨¹ýÒÀÀµ ATP µÄ¼¡¶¯µ°°× - ¼¡Çòµ°°×ºáÇÅÑ»·£¬Çý¶¯¼¡½Ú×é×°ºÍÐļ¡ÊÕËõ¡£Ð¡Êó Myh6 »ùÒòµÚ 404 λ°±»ùËá²Ð»ù¼°ÆäÖÜΧÐòÁУ¬ÓëÈËÀà Myh7 »ùÒòµÚ 403 λ²Ð»ùÇøÓò¾ßÓи߶ÈͬԴÐÔ¡£Myh6»ùÒòR404QÍ»±ä»áÆÆ»µ¼¡Çòµ°°×ÖØÁ´ÓëÐ¡Çòµ°°×½áºÏµ°°× C£¨cMyBP-C£©Ö®¼äµÄ½áºÏÇ׺ÍÁ¦£¬ÕâÓëÈËÀà Myh7»ùÒò R403Q ±äÒìµÄÖ²¡»úÖÆÏàËÆ£¬Äܹ»ÖØÏÖÈËÀà·ÊºñÐÍÐ¡µÄ²¡ÀíÌØÕ÷¡£
ÑéÖ¤Êý¾Ý
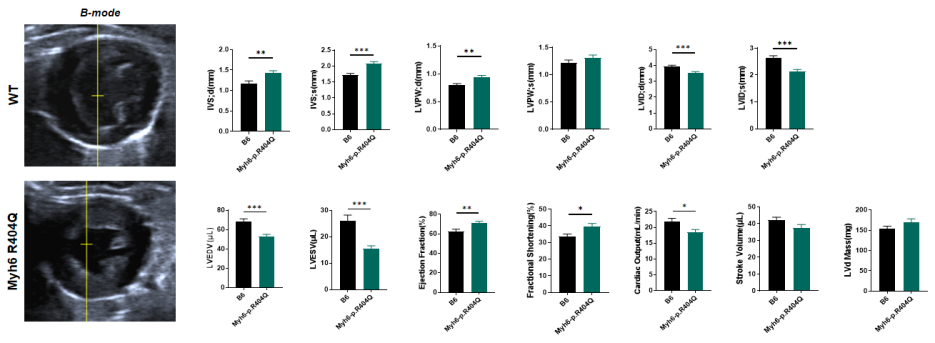
¢Ù Myh6 R404Q+/?СÊóÔÚ4ÔÂÁäºó³öÏÖÏòÐÄÐԷʺñÐÍÐ¡

ͼ1. Myh6 R404Q+/?СÊó4ÔÂÁäµÄÐij¬Êý¾Ý
³¬ÉùÐĶ¯Í¼·ÖÎöÏÔʾ£¬ÓëÒ°ÉúÐͶÔÕÕСÊóÏà±È£¬Myh6 R404Q+/?СÊó³öÏÖÃ÷ÏÔµÄÐÄÔà·Êºñ¡£Í»±äСÊóÐÄÔàµÄÊæÕÅÄ©ÆÚÊÒ¼ä¸ôºñ¶È£¨IVSd£©ºÍÊæÕÅÄ©ÆÚ×óÐÄÊÒºó±Úºñ¶È£¨LVPWd£©¾ùÏÔÖøÔö¼Ó£¬µ«×óÐÄÊÒÊæÕÅÄ©ÆÚÈÝ»ý£¨LVEDV£©ºÍÊÕËõÄ©ÆÚÈÝ»ý£¨LVESV£©¼õС£¬Í¬Ê±ÉäѪ·ÖÊý£¨EF£©ºÍËõ¶Ì·ÖÊý£¨FS£©ÂÔÓÐÉý¸ß¡£ÕâЩ½á¹¹ºÍ¹¦ÄÜÒì³£±íÃ÷£¬Myh6 »ùÒòÍ»±äÓëÏòÐÄÐԷʺñÐÍÐ¡µÄ·¢Éú´æÔÚÒò¹û¹ØÏµ£¬¸ß¶ÈÖØÏÖÁËÈËÀà Myh7 Ïà¹ØÐ¡µÄÌØÕ÷¡£n = 10£¬Êý¾ÝÒÔMean¡ÀSEM±íʾ¡£*P<0.05£¬**P<0.01£¬***P<0.001 by t-test¡£
¢Ú Myh6 R404Q+/?СÊóÔÚ³öÉú 8 ¸öÔºó³öÏÖÑÏÖØµÄÏòÐÄÐԷʺñÐÍÐ¡

ͼ 2. Myh6 R404Q+/?СÊó8ÔÂÁäµÄÐij¬Êý¾Ý
Myh6 R404Q+/?СÊó³öÉúºó¿É´æ»î³¤´ï 8 ¸öÔ£¬ÔÚ´ËÆÚ¼ä£¬ÏòÐÄÐÔÐļ¡·ÊºñÖð½¥·¢Õ¹ÎªÑÏÖØµÄ²¡Àí״̬¡£³ýÁËÐÄÊÒ±ÚÔöºñºÍÐÄÊÒÇ»ÈÝ»ý¼õСÍ⣬ͻ±äСÊóÐÄÔàµÄÿ²«Êä³öÁ¿£¨SV£©ºÍÐÄÊä³öÁ¿£¨CO£©ÏÔÖø½µµÍ£¬Õâ±íÃ÷ÆäÒÑת±äΪÊÕËõ¹¦ÄÜÕϰºÍÔçÆÚÐÄÁ¦Ë¥½ß״̬£¬ÖØÏÖÁËÍíÆÚ·ÊºñÐÍÐ¡µÄÁÙ´²ÌØÕ÷¡£ÖµµÃ×¢ÒâµÄÊÇ£¬¸ÃÄ£ÐÍÖдӷʺñµ½Ë¥½ßµÄʱ¼ä½ø³ÌÓëÈËÀà Myh7 R403Q Ð¡µÄ²¡³Ìʱ¼äÏßÏàËÆ£¬Í»ÏÔÁËÆäÔÚÑо¿¼²²¡»úÖÆºÍÖÎÁƸÉÔ¤·½ÃæµÄת»¯Ïà¹ØÐÔ¡£n = 10£¬Êý¾ÝÒÔMean¡ÀSEM±íʾ¡£*P<0.05£¬**P<0.01 by t-test¡£
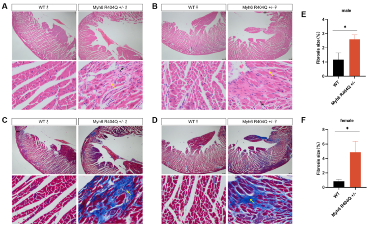
¢Û Myh6 R404Q+/?СÊóÐÄÔàµÄ¼¡½ÚÎÉÂÒºÍÐÄÔàÖØËÜ

ͼ 3. Myh6 R404Q+/?СÊó8ÔÂÁäÐÄÔàµÄ²¡Àí·ÖÎö
×é֯ѧ½á¹ûÏÔʾ£¬ÓëÒ°ÉúÐÍСÊóÏà±È£¬Myh6 R404Q+/?СÊóÐÄÔà³öÏֹ㷺µÄ¼äÖʺÍѪ¹ÜÖÜΧÏËά»¯£¨ÔÚÈýɫȾɫ / ÌìÀÇÐǺìȾɫÇÐÆ¬ÖгÊÏÖÀ¶É« / ÂÌÉ«½ºÔ³Á»ý£©£¬Ðļ¡Ï¸°û½á¹¹±»ÆÆ»µ¡£ÏËά»¯²¡±ä·Ö²¼ÓÚÕû¸öÐÄÊÒ±Ú£¬±íÃ÷ϸ°ûÍâ»ùÖÊÕýÔÚ½øÐн¥½øÐÔÖØËÜ£¬ÕâÊǷʺñÐÍÐ¡£¨HCM£©½øÕ¹µÄÒ»¸ö±êÖ¾¡£ÕâÓë¸ÃÄ£ÐÍÖÐÏÈǰ¹Û²ìµ½µÄÐÄÊä³öÁ¿ÊÜËðºÍÐļ¡·ÊºñÏÖÏóÒ»Ö¡£*P<0.05 by t-test¡£
¢Ü Mavacamten/MYK-461 ¿ÉÓÕµ¼Myh6 R404Q+/?СÊóÐļ¡ËɳÚ

CAMZYOS?£¨Mavacamten£©ÊÇFDAÅú×¼µÄÊ׿îÐÄÔ༡Çòµ°°×ÒÖÖÆ¼Á£¬×¨ÃÅÓÃÓÚÐŦÄÜ·Ö¼¶Îª II - III ¼¶µÄÓÐÖ¢×´³ÉÈ˹£×èÐԷʺñÐÍÐ¡£¨oHCM£©¡£ÕâÖÖÐÂÐÍÖÎÁÆÒ©Îï¿ÉÑ¡ÔñÐÔµ÷½Ú ¦Â- ÐÄÔ༡Çòµ°°× ATP ø»îÐÔ£¬¼õÉÙ¹ý¶ÈµÄ¼¡¶¯µ°°× - ¼¡Çòµ°°×ºáÇÅÐγɣ¬Ê¹Ðļ¡ÊÕËõÁ¦Ïò½ÚÄÜµÄ ¡°³¬Ëɳڡ± ״̬ת±ä¡£ÔÚ Myh6 R404Q+/- СÊóÄ£ÐÍÖеÄÁÙ´²Ç°ÑéÖ¤ÏÔʾ³ö¿ìËÙµÄҩЧѧЧӦ¡£ÓëÄ£ÐÍСÊóÏà±È£¬µ¥¼ÁÁ¿MYK-461£¨Mavacamten µÄÁÙ´²Ç°´úÂ룩ÔÚ¸øÒ©ºóµÄ 24 СʱÄÚʹËõ¶Ì·ÖÊý£¨FS£©ÏÔÖø½µµÍÁË 18%¡£ÕâÖÖÊÕËõ¹¦Äܵļ±ÐÔ½µµÍÓë Mavacamten µÄ×÷ÓûúÖÆÒ»Ö£¬ÆäÖ±½ÓÕë¶Ô¼¡½Ú¹ý¶ÈÊÕËõ£¬ÕâÊǷʺñÐÍÐ¡²¡ÀíÉúÀíѧµÄÒ»¸öÌØÕ÷¡£ns ÎÞÏÔÖøÐÔ²îÒ죻****P<0.0001 by t-test¡£
