BALB/c-hCTLA4临床前毒理学评价药物的模型
基于C57BL/6-hPD1/hCTLA4与BALB/c-hPD1/hCTLA4小鼠划分进行Anti-PD1与Anti-CTLA4联用的毒副评价
1、PD1抗体药联合Yervoy药在B6和BALB/c配景小鼠的生长曲线结果讲明,BALB/c在第9天的时候泛起死亡,直到后期才体现出耐受现象

2、CTLA4的Yervoy药物在临床试验历程中的数据显示临床病人泛起明显的皮疹、肝炎、腹泻、结直肠炎等症状。BALB/c配景的小鼠泛起明显的枢纽炎,皮疹脱毛等症状,而B6配景的小鼠没有泛起明显的病理症状。


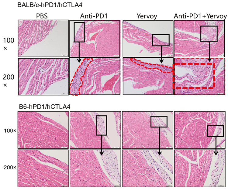
3、CTLA4的Yervoy药物在临床生化分析历程中,BALB/c配景小鼠的乳酸脱氢酶(LDH)和肌酸激酶(CK)明显高于B6配景小鼠,讲明Yervoy药物对小鼠的心脏损伤在BALB/c配景鼠上更明显。

4、CTLA4的Yervoy药物对小鼠心脏发生差异水平的炎症损伤,BALB/c小鼠心脏的炎症损伤比B6配景小鼠严重。

B6-hPD1/CTLA4配景小鼠模型对药物治疗具有耐受性;BALB/c-hPD1/hCTLA4配景的免疫检查点人源化小鼠模型能够重现临床中一些不良反映,是大分子、小分子的临床前药物毒性评价的理想模型。
CTLA4的Yervoy药物对小鼠心脏发生差异水平的炎症损伤,BALB/c小鼠心脏的炎症损伤比B6配景小鼠严重。
