ÌØÓ¦ÐÔÆ¤Ñ×
ÌØÓ¦ÐÔÆ¤Ñ×£¨atopic dermatitis, AD£©ÓÖ³ÆÌØÓ¦ÐÔʪÕÊÇÒ»ÖÖÒ׸´·¢¡¢ðþÑ÷ÐÔµÄÑ×Ö¢ÐÔÆ¤·ô²¡£¬ÊÇÆ¤·ô¿Æ×î³£¼ûµÄ¼²²¡Ö®Ò»£¬·¢²¡ÂʸßÇÒÄÑÒÔ¸ùÖΡ£
Ä£ÐÍ×ÊÔ´
ADÄ£ÐÍ | OXAÓÕµ¼µÄADÄ£ÐÍ | MC903ÓÕµ¼µÄADÄ£ÐÍ | DNFBÓÕµ¼µÄADÄ£ÐÍ |
Ä£ÐÍÌØµã | ¸ÃÄ£ÐÍÊÊÓÃÓÚ°ÐÏòTh1¡¢Th2¡¢Th17ÒÔ¼°ÏµÍ³ÐÔÃâÒßÒÖÖÆ¼ÁµÈÒ©ÎïµÄÆÀ¼Û¡£ | ¸ÃÄ£ÐÍÊÊÓÃÓÚ°ÐÏòTh2ÒÔ¼°ÉÏÆ¤Ï¸°ûÏà¹ØÒ©ÎïµÄÆÀ¼Û£¬Í¬Ê±Ò²ÊÊÓÃÓÚϵͳÐÔÃâÒßÒÖÖÆ¼ÁÒÔ¼°¿¹×é°·Ïà¹ØÒ©ÎïµÄÆÀ¼Û¡£ | ¸ÃÄ£ÐÍÊÊÓÃÓÚ°ÐÏòTh1/Th17/Th22¡¢ÉÏÆ¤Ï¸°û¡¢ÏµÍ³ÐÔÃâÒßÒÖÖÆ¼ÁÒÔ¼°¿¹×é°·Ïà¹ØÒ©ÎïµÄÆÀ¼Û¡£ |
OXAÓÕµ¼Ð¡ÊóÌØÓ¦ÐÔÆ¤Ñ×Ä£ÐÍ
ÔìÄ£·½Ê½£ºÊ¹ÓÃBALB/cJGpt 6-8w ´ÆÊó£¬Í¿Ä¨¶ñßòͪ£¨Oxazolone, OXA£©ÖÂÃôÒ»´Î£¬7Ììºó³ÖÐøÓÕµ¼ÔìÄ££¬²¢½øÐÐÌåÄÚҩЧÑéÖ¤¡£
ÓÕµ¼ÔÀí£º¶ñßòͪ£¨OXA£©ÊôÓڰ뿹ԣ¬Ê¹Óð뿹Դ̼¤Ð¡Êó(ÈçBALB/cСÊóµÈ)Ƥ·ô£¬¿ÉÐγÉÀàËÆÌØÓ¦ÐÔÆ¤Ñ×µÄÖ¢×´ºÍ²¡ÀíÌØÕ÷¡£
Êý¾Ýչʾ£º

ÓëG1¶ÔÕÕ×éÏà±È£¬OXAÄܹ»ÓÕµ¼Ð¡Êó±³²¿ºÍ¶ú²¿Æ¤·ô×éÖ¯Ôöºñ£¬¼²²¡ÆÀ·ÖÔö¼Ó£¬Ö¤Ã÷OXAÄܹ»³É¹¦ÓÕµ¼Ð¡ÊóƤÑ×±íÐÍ¡£
ÓëG2×é(OXAÔìÄ£×é)±È½Ï£¬DXMS¸øÒ©ºó±³²¿Æ¤·ôºñ¶È£¨×ó1£©ºÍ¶ú¶äƤ·ôºñ¶È£¨×ó2£©ÏÔÖø½µµÍ£¬±³²¿Æ¤·ôÆÀ·ÖÏÔÖø½µµÍ£¨ÓÒ2£©£¬Ð¡ÊóѪÇåÖÐIgEˮƽÏÔÖø½µµÍ£¨ÓÒ1£©¡£

MC903ÓÕµ¼Ð¡ÊóÌØÓ¦ÐÔÆ¤Ñ×Ä£ÐÍ
ÔìÄ£·½Ê½£ºÊ¹ÓÃBALB/cJGpt 7-8ÖÜÁä ´ÆÊó£¬Ã¿ÌìÓÃάÉúËØD3ÀàËÆÎ│²´Èý´¼(MC903)Íâ·óСÊó¶ú¶ä14ÌìÓÕµ¼ÔìÄ££¬²¢½øÐÐÌåÄÚҩЧÑéÖ¤¡£
ÓÕµ¼ÔÀí£ºMC903ÓÕµ¼½Ç»¯Ï¸°û²úÉúTSLP£¬²¢¼¤»î2ÐÍÏÈÌìÐÔÁܰÍϸ°ûÒÔ¼°Th2ϸ°û²úÉú¹ýÁ¿µÄϸ°ûÒò×Ó¡£
Êý¾Ýչʾ£º

ÓëG1¶ÔÕÕ×éÏà±È£¬G2ÔìÄ£×éСÊó¶ú²¿Æ¤·ô×éÖ¯Ôöºñ£¬¼²²¡ÆÀ·ÖÔö¼Ó£¬Ö¤Ã÷MC903Äܹ»³É¹¦ÓÕµ¼Ð¡ÊóƤÑ×±íÐÍ¡£ÓëG2ÔìÄ£×éÏà±È£¬G3×éСÊóͿĨµØÈû Ã×ËÉ£¨Dexamethasone£©,G4×éСÊóͿĨ¿ËÁ¢ÅðÂÞ£¨Crisaborole£¬PDE-4ÒÖÖÆ¼Á£©ºó£¬¶ú¶äƤ·ôºñ¶ÈÏÔÖø½µµÍ¡¢¼²²¡ÆÀ·ÖÏÔÖø»º½â¡¢ÑªÇåIgEˮƽÏÔÖø½µµÍ¡¢Æ¤·ô×éÖ¯ÁܰÍϸ°ûÒò×Ó»Ö¸´Õý³£¡£

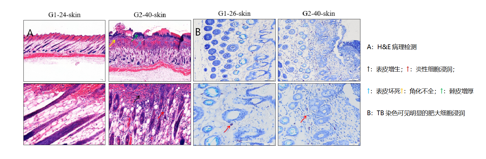
DNFBÓÕµ¼Ð¡ÊóÌØÓ¦ÐÔÆ¤Ñ×Ä£ÐÍ
ÔìÄ£·½Ê½£º²ÉÓÃBALB/cJGpt 7-8ÖÜÁä´ÆÊóÔìÄ££¬Ê¹ÓöþÏõ»ù·ú±½£¨1-Fluoro-2,4-dinitrobenzene£¬DNFB£©¶à´ÎͿĨƤ·ôÖÂÃôÓÕµ¼Ð¡ÊóÌØÓ¦ÐÔÆ¤Ñס£
ÓÕµ¼ÔÀí£ºDNFBÊÇÒ»Öְ뿹ԣ¬µ±DNFBÓëÆ¤·ô½Ó´¥Ê±»áÓÕ·¢ÃâÒßϵͳ¹ý¶È¼¤»î³Ù·¢ÐÔ³¬Ãô·´Ó¦£¬ÂýÐÔ³ÖÐøÐԴ̼¤¼Ì¿Éµ¼ÖÂÌØÒìÐÔÆ¤Ñ×Ñù±íÐÍ¡£
Êý¾Ýչʾ£º

ÓëG1¶ÔÕÕ×éÏà±È£¬G2ÔìÄ£×éСÊó±³²¿Æ¤·ô×éÖ¯Ôöºñ£¬¼²²¡ÆÀ·ÖÔö¼Ó£¬IgEˮƽÔö¼ÓÒÔ¼°×¥ÄÓ´ÎÊýÃ÷ÏÔÔö¼Ó£¬Ö¤Ã÷DNFBÄܹ»³É¹¦ÓÕµ¼Ð¡ÊóƤÑ×±íÐÍ¡£

